急性心肌梗死伴左主干病变及心源性休克是一种严重的致命的心脏急症,发病率和病死率分别为0.46%和55%~80%[1]。单纯的内科保守治疗由于不能及时有效充分地进行血运重建,因此疗效往往不佳。血运重建可以及时有效地开通梗死相关冠状动脉,理论上疗效较好。然而,由于涉及无保护左主干病变,PCI治疗面临巨大的风险;从时间上来看,CABG治疗未必能够及时达到效果。因此,需要探索最佳的治疗方案,本病例是一个成功的尝试,现报道如下。
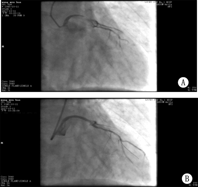
1 资料与方法患者,男,68岁,3年前无明显诱因出现阵发性烧灼样胸骨后疼痛,10~15 min/次,伴有胸闷,气短、大汗,本院诊断为“不稳定性心绞痛”,应用硝酸甘油后症状缓解。此后规律口服阿司匹林、消心痛,上述症状未再发作。入院前3 h无明显诱因出现上述症状,伴有烦躁不安、面色苍白,频繁恶心、呕吐,上腹胀痛,含服硝酸甘油上述症状未缓解。查体:P 54次/min,BP 64/47 mmHg(1 mmHg=0.133 kPa)。面色苍白、皮肤湿冷。神志清,反应迟钝。双肺呼吸音清,未闻及干湿啰音。心率:54次/min,律齐。心电图(图 1A):ST段 aVL导联上抬0.1 mV,Ⅰ、Ⅱ、Ⅲ、aVF、V4-V6导联下移0.1~0.3 mV,aVR导联上移0.2 mV。肌钙蛋白I 27.16 ng/mL。诊断:急性心肌梗死,考虑左主干病变,心源性休克。治疗:常规用药包括:肝素抗凝、可定调脂、多巴胺升压。抗血小板治疗:阿司匹林首剂量300 mg,维持量100 mg/d口服,波立维首剂量600 mg/d,维持量75 mg/d口服;术后常规应用替罗非班静点36 h。急诊冠状动脉造影:左主干末端至左前降支近段95%狭窄,见血栓影,血流TIMI 1级,左回旋支近段100%闭塞,考虑为慢性闭塞,血流TIMI 0级,右冠状动脉弥漫性病变,最窄处50%狭窄,可见侧枝循环向左回旋支供血,血流TIMI 3级(图 2A)。决定行急诊PCI:送6FEBU3.5 指引导管至左冠开口,送Runthrough导丝通过病变处到达前降支远端,再送2.0 mm×15 mm迪马克球囊至前降支至左主干病变处,以12 atm×5″由远至近进行扩张3次,造影示左主干至前降支病变处残余狭窄80%,血流TIMI 2~3级,送乐普3.5 mm×36 mm支架不能通过病变处,送BMW导丝通过病变处,再送乐普3.5 mm×36 mm支架至左主干至前降支病变处,以16 atm×5″进行扩张,释放支架,造影示支架释放满意,无夹层及残余狭窄,血流TIMI 3级(图 2B)。左回旋支病变暂不处理。结果:术后患者胸痛缓解,血压、心率恢复正常。心电图:6 h内aVL导联ST段回降,V3-6导联ST段回到基线(图 1B)。
![]() |
| 图 1 患者发病时的心电图(A)和PCI术后6 h心电图(B) |
![]() |
| 图 2 患者发病时急诊冠状动脉造影结果(A)及 左主干放置支架后造影结果(B) |
急性心肌梗死伴左主干病变及心源性休克的治疗策略:本例患者左主干末端至左前降支近段95%狭窄,左回旋支近段100%闭塞,相当于左主干病变,应按照左主干病变处理。血运重建可充分解除狭窄,应作为首选。那么,选择CABG还是PCI?根据2014版欧洲心肌血运重建指南[2],合并心源性休克的左主干显著狭窄,左前降支和左回旋支近端狭窄患者,推荐CABG(ⅠC);在解剖位置合适、存在存活心肌且不支持外科手术的情况下可考虑PCI(ⅡB)。即CABG的适用范围较PCI更广泛。
但就急性心肌梗死伴左主干病变及心源性休克患者而言,血运重建的及时性极为重要,CABG手术持续时间较长,从麻醉开始至手术全部结束,平均4~5 h,即使仅仅是左前降支搭桥,也至少需要1~1.5 h,远远超过PCI的平均时间(30~40 min)。而且,无论中国还是外国,均应以患者的安全为首要考虑因素,首选CABG还是PCI主要看哪个技术更成熟。中国PCI比CABG相对起步早、普及快,技术水平在全国相对较为均衡。因此,就急性心肌梗死伴左主干病变及心源性休克患者而言,在中国,无论是从技术的成熟程度还是血运重建的及时性来说,在无PCI禁忌证的情况下,国内有条件的医院应首选行PCI,本例PCI的成功证明了这一点,国外亦有报道,Kossaify等[3]曾报道一例吻合口狭窄闭塞病变,导致广泛前壁心肌梗死和心源性休克,对左主干和左前降支、左回旋支进行PCI后,患者血流动力学改善。
但是,毕竟不是所有医院都有条件实施急诊PCI或CABG。溶栓治疗最大的优点是可以避免手术带来的风险,且在没有条件行PCI和CABG的医院亦可做到,其最大的缺点是对动脉粥样硬化斑块造成的残余狭窄无效,因此,单纯的内科保守治疗不是首选。笔者这里推荐“促进式”PCI,即以PCI为最终的治疗手段,利用术前准备的时间先行药物治疗如溶栓,结果开通或部分开通梗死相关血管,改善心肌存活,减少心源性休克等并发症,并且为PCI 争取了时间,提高了手术成功率。
总之,PCI 、CABG和静脉溶栓再灌注等手段各有利弊,而且并不是互不相容的。应该根据患者和医疗单位的条件作出最恰当的决策。
| [1] | Que B, Cheng YT, Gao H, et al.A successful team treatment for left main shock syndrome[J] . Geriatr Cardiol, 2013, 10(3):302-304. |
| [2] | Muramatsu T, Ozaki Y.European Society of Cardiology (ESC) congress report from Barcelona 2014[J].Circ J, 2014, 78(11):2610-2618. |
| [3] | Kossaify A, Grollier G.A case of left main coronary artery disease in an octogenarian treated surgically and complicated by myocardial infarction: decisions, techniques, rescue and final outcome[J]. Clin Med Insights Case Rep, 2013, 10(6):61-65. |
2015, Vol. 24




