桡骨远端骨折是指距桡骨远端关节面3 cm以内的骨折,为临床常见病,约占全身骨折的1/6[1]。多见于老年人,多数患者是由于跌倒后手部撑地所致,大部分为粉碎性、不稳定骨折[2],骨折多有明显的短缩,侧方及掌背侧移位,远端关节面碎裂,此类患者骨折部位损伤严重,局部出血多,肿胀明显,手法复位及石膏托固定不能维持复位,导致骨折的再移位及丢失而失败。延期手术患者在等待手术过程中有很大一部分患者出现张力性水泡,导致手术进一步延期,致后期骨折复位困难,且容易出现感染,影响治疗效果。至今桡骨远端骨折的治疗仍是困扰骨科医师的临床难题[3]。桡骨远端骨折常因缺乏内固定装置的位置,现多采用外固定架治疗[4, 5, 6]。笔者自2010年1月至2014年2月采用急诊克氏针加动力型外固定架治疗桡骨远端不稳定性骨折47例,取得了满意的疗效,现报道如下。
1 资料与方法 1.1 一般资料本组桡骨远端不稳定型骨折47例,男16例,女31例,其中开放性骨折6例,均为新鲜骨折。年龄52~81岁,平均64.3岁。受伤原因:摔倒手撑地所致29例,车祸伤12例,压伤6例。按AO分型:A3型7例,B2型9例,B3型8例,C2型14例,C3型9例。
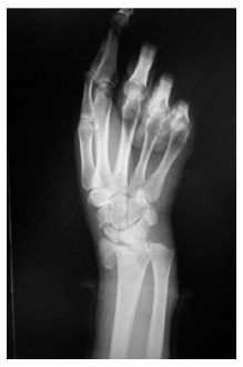
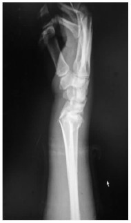
1.2 治疗方法急诊予以常规患侧腕关节正侧位X线片,必要时CT三维重建(图 1、2)。均采用臂丛麻醉,仰卧位,常规消毒铺巾,止血带止血。开放者直视下克氏针穿针固定,闭合骨折由助手牵引,手法复位纠正侧方移位,成角及短缩畸形,术中X线透视,骨折块或关节面复位不满意可借助克氏针撬拨复位或有限切开复位,复位满意后用多枚克氏针交叉固定。克氏针以刚穿出骨皮质为宜,以增加牢度,克氏针尾部折弯留于皮外,骨折初步复位后予以安装动力型外固定架,选择超关节外固定架,先于第二掌骨背外侧作2个0.5 cm切口,间距以外固定架钉夹为准,平行植入2枚2.5 mm支架螺钉,在距桡骨骨折线4~6 cm桡骨上置入2枚支架螺钉,安装并调整外固定架,保证远端球形活动关节位于桡腕关节水平线上,利于早期功能锻炼,同时调整外固定架施以适当牵引力,保持腕关节轻度尺偏掌曲位并锁紧,直至透视满意。术后第2天开始手指伸屈曲能锻炼,术后第1天,4周,6周、8周及3个月复查X线片(图 3、4),4周松外固定架锁紧装置开始功能锻炼,4~6周拔除克氏针,6~8周拆除外固定架。
![]() |
| 图 1 急诊正位片 |
![]() |
| 图 2 急诊侧位片 |
![]() |
| 图 3 术后4周正位片 |
![]() |
| 图 4 术后4周侧位片 |
桡骨远端骨折治疗疗效评价采用Dienst评定标准[7]评估。优:无疼痛,活动不受限,功能无损伤,握力同对侧,腕屈伸度减少<15°;良:偶尔疼痛,剧烈活动时受限,功能接近正常,握力接近正常,腕屈伸度减少15°~30°;可:经常疼痛,工作时轻度受限,功能减弱,握力减弱,腕屈伸度减少30°~50°;差:持续疼痛,工作能力减弱,正常劳动受限,功能明显减弱,握力明显减弱,腕屈伸度减少>50°。以及Aro解剖评价标准(表 1)
| 评分项目 | 0分 | 1分 | 2分 | 3分 |
| 背侧倾斜(°) | 0 | 1~10 | 11~14 | >14 |
| 尺侧倾斜减少(°) | 0~4 | 5~9 | 10~14 | >14 |
| 桡骨轴向缩短(mm) | 0~3 | 4~6 | 7~11 | >14 |
| 注:3项累计0分为优秀,1~3分为良好,4~6分为可,7~12为差 | ||||
所有病例均获6~24个月随访,平均13.5个月,X线显示骨折全部愈合良好。骨折愈合后掌倾角6°~16°(11.6±1.6)°,尺偏角18°~26°(21.8±1.4)°,1例桡骨轴向缩短2 mm,无医源性神经损伤,无钉道感染,综合评定优43例,良2例,可2例。总体优良率为95.7%。
3 讨论桡骨远端由于是松质骨和密质骨的交界处,外力作用下极易使该部位发生骨折[8],多见于老年人,且大多为粉碎性骨折,骨折多有明显的短缩,侧方及掌背侧移位,远端关节面碎裂,手法复位及石膏托固定不能维持复位,导致骨折的再移位及丢失而失败,常常需要手术治疗。桡骨远端骨折的手术治疗方法可以分为内固定或外固定或两者结合。切开复位内固定治疗,术中需广泛剥离软组织,增加感染机会,使本已粉碎骨折进一步“散架”,导致部分骨块难以复位固定且不利于骨折愈合。背侧钢板可影响伸肌腱的活动,不利于后期功能锻炼,且有由于在钢板上的研磨而导致肌腱断裂的报道[9]。手法复位及外固定架固定可以克服上述缺点,手法复位轴向牵引关节周围肌腱、韧带,使骨折复位,外固定架进一步牵引使关节周围肌腱、韧带保持一定的张力,起到软组织合页作用进一步使骨折复位,可恢复桡骨的高度[10],有效防止骨折部位的轴向压缩,维持复位效果,保证了桡骨远端掌倾角及尺偏角的恢复,采用动力型外固定架可以早期保护下功能锻炼,减少腕关节的强直及功能丢失,大大提高治疗的满意度。对于难复位骨折块或关节面复位不满意可借助克氏针撬拨复位或有限切开复位,能保留骨膜组织,较少破坏骨折部位血供,采用交叉固定可以大大提高固定的牢度,有效防止骨折的再移位,且克氏针不需要切开取出。桡骨远端骨折大部分为粉碎、不稳定骨折,此类患者骨折部位损伤严重,局部出血多,肿胀明显,延期手术患者在等待手术过程中有很大一部分患者出现张力性水泡,导致手术进一步延期,致后期骨折复位困难,且容易出现感染,影响治疗效果。笔者采用急诊手术,此时患者腕关节肿胀尚未达到最严重,能减少术中复位难度,缩短手术时间,术中有限切开之切口及克氏针和外固定架针孔起到一定的减压、引流作用,大大减少了张力性水泡的出现。至于外固定架固定过程中容易出现的钉道骨折,医源性桡神经损伤,术中直视下穿针及仔细分离操作可以避免,术后适当应用抗生素及勤换药可以避免钉道感染。本组47例所有病例均获6~24个月随访,平均13.5个月,X线显示骨折全部愈合良好。综合评定优43例,良2例,可2例。总体优良率为95.7%。
| [1] | 王学谦,露思权,侯筱魁,等.创伤骨科学 [M].天津:天津科技翻译出版社,2007:1285-1326. |
| [2] | Siripakarn Y,Suntarapa T,Chernchujit B.Multipurpose external fixation for unstabl comminuted intraarticular fracture of distal radius[J].J Med Assoc Thai,2013,96(8):446-455. |
| [3] | Mostafa MF.Treatment of distal radial fracture with antegrade intramedullary Kirschner wires [J].Strat Trauma Limb Reconstr,2013,2(1):89-95. |
| [4] | Kuo LC,Yang TH,Hsu YY,et al.Is progressive early digit mobilization intervention beneficial for patients with enternal fixation of diatal radius fracture? A pilot randomized controlled trial[J].Clin Rehabil,2013,27(10):983-993. |
| [5] | Kulshrestha V,Roy T,Audige L.Dynamic vs static external fixation of diatal radius fractures:a randomized study[J].Indian J Orthop,2011,45(6):527-534. |
| [6] | Hove LM,Krukhaug Y,Revheim K,et al.Dynamic compared with static external fixation of unstable fractures of the diatal part of the radius:a prospective,randomized multicenter study[J].J Bone Joint Surg Am,2010,2(8):1687-1696. |
| [7] | Dinest M,Wozasek GE,Seligson D.Dynamic external fixation for distal radius fractures [J].Clin Orthop,1997,338(5):160-171. |
| [8] | 谭纪锋,张玮虹,高明宏,等.钢板内固定结合外固定支架治疗桡骨远端粉碎性骨折疗效观察[J].国际医药卫生导报,2012,18(16):2413-2415. |
| [9] | Herron M,Faraj A,Craigen MA.Dorsal piating for displaced intraanticular fractures of the distal radius [J].Injury,2003,34(16):497-502. |
| [10] | 蒋科卫,温建民,成永中,等.改良Llizarov外固定器治疗桡骨远端粉碎骨折[J].中医正骨,2004,16(6):18-19. |
2015, Vol. 24






