2. 珠海市心血管疾病防治中心,珠海 519000
因心房颤动(房颤)所产生的心源性栓子脱落,随血液循环致脑血管、下肢、肠系膜、内脏、上肢等外周血管栓塞事件,临床上时有报道。但致急性腹主动脉等大血管栓塞事件临床上极为罕见。现以珠海市人民医院急诊医学部收治的一例非瓣膜房颤患者(non-valvular atrial fibrillation, NVA)左心房附壁巨大血栓脱落致急性腹主动脉栓塞为例,结合相关文献回顾分析该病的诊疗过程,以提高临床医师对该病的认识。本研究已获珠海市人民医院伦理委员会批准[批件号:(2025)伦审【研】第(88)号]。
1 临床资料患者男,79岁,因“腰痛、双下肢麻木、乏力1 h”于2023年6月8日08:20至珠海市人民医院急诊医学部就医。患者于入院1 h前突发腰痛,双下肢麻木、乏力,逐渐出现双下肢活动障碍,遂在家属陪同下至本院就医。
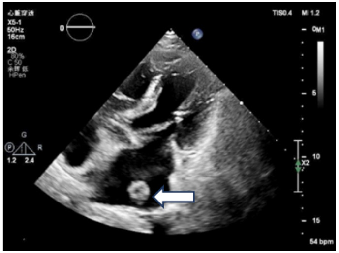
既往史:有高血压病史10年余,规律降压治疗,未监测血压。房颤病史2年余,2022年11月在本院超声心动图显示左心房见一不均质低回声团,位置随心动周期漂动(17 mm×16 mm)”(见图 1),左房前后径40 mm,左右径46 mm,上下径70 mm。LVEDD 39 mm,LVEF:60%。二尖瓣E峰0.92 m/s,最大压差3.39 mmHg(1 mmHg=0.133 kPa)。反流面积3.8 cm2,二尖瓣口频谱呈单峰。舒张期二尖瓣口前向血流,E < A,无舒张功能不全。进一步行经心脏超声造影提示:Flash后,左心室心腔内团块未见明显灌注(见图 2)。
|
| 注:左房内可见团块样回声影(箭头处),约17 mm × 16 mm 图 1 患者经胸腔超声心动图 |
|
|
|
| 注:Flash后,左心室心腔内团块影(箭头处)未见明显灌注 图 2 经患者肘静脉注射造影剂“声诺维”后行心脏超声造影(左心声学及心肌灌注) |
|
|
患者CHA2DS2-VASc评分(3分),HAS-BLED评分(1分);并于半年前接受口服利伐沙班(20 mg/次,QD)。随后定期(每1~2个月1次)在本院复查心脏超声了解左房血栓消退情况(大小变动情况见表 1)。在抗凝治疗3个月后,血栓无明显消退,考虑到栓子较大,血栓脱落风险高,致残致死率较高,有外科手术指征,建议行血栓取栓术,同期行左心耳结扎术。但患者考虑外科手术创伤大,拒绝该建议。
| 检查日期 | 心脏超声仪器型号 | 左房血栓大小(mm2) | 备注 |
| 2022-11-02 | PHILIPS cvx-9 | 17×16 | TTE+TEE |
| 2023-02-18 | PHILIPS cvx-9 | 21×15 | TTE+TEE |
| 2023-03-30 | PHILIPS cvx-9 | 20×12 | TTE+TEE |
| 2023-05-03 | PHILIPS IU elite-5 | 20×13 | TTE |
| 2023-06-08 | PHILIPS cvx-9 | 原血栓影消失 | TTE(此次就诊当天) |
| 2023-09-06 | GE E95-7 | 未见血栓影 | TEE,术后3个月随访 |
| 注:TTE为经胸超声心动图,TEE为经食管超声心动图 | |||
个人史:有吸烟史,约40年,平均每天5支。
查体:体温36.0℃,脉搏55次/min,呼吸20次/min,血压:216/112 mmHg(右上肢),206/113 mmHg(左上肢)。神志清楚,营养中等,痛苦表情,对答切题。口唇无紫绀。呼吸平顺,双肺未闻及干湿啰音。心界正常,心率65次/min,第一心音强弱不等,节律快慢不一,各瓣膜听诊区未闻及病理性杂音。腹平,触诊软,肝脾肋下未触及。下腹壁、双下肢皮肤见花斑,双侧足背动脉搏动消失,浅感觉减退。膝反射、跟腱反射减弱。双侧肢体肌张力减弱、双下肢肌力0级。
实验室检查:D-二聚体2.26 mg/L。血乳酸6.9 mmol/L。血常规、凝血功能、肝肾功能、电解质等均正常。
辅助检查:常规心电图示心房颤动。床旁经胸超声心动图示:原左房血栓影未显示(见图 3)。
|
| 注:左房内团块样回声影未见显示 图 3 患者本次入院当天常规经胸腔超声心动图 |
|
|
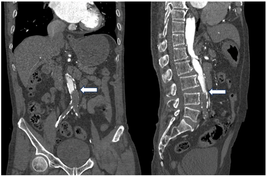
腹主动脉CTA成像示:腹主动脉近末端处-双侧髂总动脉-双髂外动脉、右髂内动脉、左髂内动脉起始部未见对比剂充盈,考虑腹主动脉急性闭塞(见图 4)。
|
| 注:A为冠状位,B为矢状位;腹主动脉远端未见对比剂充盈(箭头处) 图 4 患者主动脉CTA血管成像 |
|
|
初步诊断:①急性腹主动脉栓塞;②永久性心房颤动;③高血压病3级很高危组
主要诊治措施:予控制性降压、止痛、低分子肝素抗凝等基本处理。本院心血管外科会诊后认为该患者有急诊手术指征,征得患者及家属同意,于2023-06-08 10:50行急诊手术治疗。由于患者血栓栓塞范围较广泛(腹主动脉远端至双侧髂内动脉弥漫性血栓形成),经血管内取栓等治疗困难,故急诊行(距起病时间3.5 h)“右腋动脉-右股动脉、右股动脉-左股动脉人工血管转流术”,手术顺利。术后行CHA2DS2-VASc评分:6分,HAS-BLED评分:2分;继续予“利伐沙班20 mg”抗凝治疗,术后腰痛、双下肢麻木、乏力等相关症状消失,治愈出院。
出院后坚持每月门诊复诊,4个月后每2个月复诊一次;患者无任何不适,无皮肤瘀斑、牙龈出血、黑便等表现。复查血常规、肝肾功能无明显异常。复查心脏彩超未见血栓影。随访至今,患者一般情况良好。
2 讨论腹主动脉直径约2.9~3.0 cm,由于血管解剖的关系,腹主动脉很少发生原位血栓栓塞,因此以心源性栓子来源等途径为主,常由房颤所致心脏腔室附壁血栓脱落而产生[1]。房颤作为一种常见的心律失常,导致脑卒中、体循环动脉栓塞的年发生率分别为1.92%和0.24%[2];中国房颤患者总体脑卒中的患病率为24.8%,其中非瓣膜性房颤患者为24.2%[3]。体循环栓塞常见部位依次为下肢、肠系膜及内脏、上肢;而腹腔干等大动脉栓塞极为罕见。约60%的患者需要介入或外科手术干预,事件发生30 d内致残率20%,致死率25%[4]。经皮左心耳封堵术(left atrial appendage closure, LAAC)是预防脑卒中和体循环栓塞事件的策略之一[5-6]。使用CHA2DS2-VASc评分对评估患者血栓栓塞的风险十分必要,积分越高,发生血栓栓塞的风险越高[7]。TEE是检测左心房血栓的金标准。若存在冠心病等高危因素时,也可行双源256排螺旋CT检查,不仅能显示左心房和肺静脉结构,排查严重冠心病,从另一方面来说,也能与TEE互为补充,提高左心房/左心耳血栓诊断的准确性[8]。使用声学造影有助于诊断和鉴别心腔内占位病变如肿瘤和血栓等[9],本例患者经超声造影检查明确诊断为左房巨大血栓。据《心房颤动诊断和治疗中国指南2023年》意见,临床上一旦发现左心房血栓(left atrial thrombus, LAT),应立即启动规范抗凝治疗。口服抗凝药包括华法林和非维生素K拮抗剂类口服抗凝药(on-vitamin K antagonist oral anticoagulant, NOAC),首选NOAC。接受标准NOAC治疗的房颤患者缺血性卒中的年发病率为1%~2%;也有研究提示[10],中位抗凝时间4周后复查TTE,左房血栓消除率为50%~90%。国内一项研究显示[11],服用华法林或NOAC治疗80 d,仍有6/11例患者血栓未完全溶解,但该研仅入选11例,样本量较少且以左心耳血栓为主,血栓偏小,大小平均为9.6 mm×9.5 mm。本病例中,患者前期经利伐沙班抗凝治疗,血栓未消退,其原因考虑:①该患者左心房血栓负荷较重。②抗凝药物治疗是否达标?可考虑利伐沙班改为稍大剂量:15 mg,2次/d(该患者HAS-BLED评分为1分,故初始治疗为标准剂量20 mg/d)。③存在抗凝药物抵抗?可考虑改用其他类NOAC。在兼顾出血风险的同时,经上述调整是否有助于改善预后,需待进一步观察研究。
本病例考虑非瓣膜房颤所致左心房附壁巨大血栓形成,因栓子脱落后随体循环游走,最终阻塞腹主动脉,从而产生一系列临床表现。临床上绝大数非瓣膜性房颤血栓来自左心耳,较少见于左心房体部。左心耳的形态是左心耳血栓形成的独立决定因素[12],故推测该患者左心耳形态结构属于鸡翅型即:更低的左心耳发生风险,在相同致病因素下,未发生于常见部位如左心耳,故左房体部形成血栓。
该患者此血管事件的发生,是腹主动脉等大血管存在比较严重的动脉粥样硬化基础上的多因素结果。在本病例中,患者腹主动脉CTA提示附壁血栓伴多发穿透性溃疡是心房血栓脱落致腹主动脉闭塞进一步导致腹主动脉闭塞远端如髂动脉等继发广泛血栓形成的病理生理基础。腹主动脉栓塞因栓子较大,静脉溶栓疗效差,血管内治疗较困难[13]。通常采用腹主动脉切开取栓术等外科手术干预[14],并联合药物抗凝治疗[15]。须在起病6~8 h内及时行再灌注治疗,时间越早,预后越好。本病例在距起病时间3.5 h即行手术治疗,故也是获得较好的临床预后的因素之一。若处理不及时,有较高的致残率、致死率,预后极差。在临床上,心房血栓的形成给临床治疗带来极大的挑战。对于左房已经血栓形成的NVAF患者而言,制订抗凝策略有其特殊性,需综合考虑,最重要的临床策略是预防心源性栓塞事件的发生,应予NOAC标准化抗凝治疗,可有效地抑制血栓的进一步形成,预防卒中的发生[16]。考虑到可能带来的严重后果,此类患者应在发现左心房内血栓后及早行手术治疗。但具体手术时机,目前尚无指南提供一致意见。笔者建议强化抗凝治疗3个月左右(华法林或NOAC类药物均可),再次评估血栓负荷、脱落风险,为了降低远期致死性栓塞事件尤其是大动脉急性栓塞事件,可行外科血栓取栓术,同期行左心耳结扎术。若有合并心脏需要外科手术情况者,则尽早行外科取栓治疗。若无手术条件,则须规范化抗凝治疗。
利益冲突??所有作者声明无利益冲突
| [1] | Sieber S, Stoklasa K, Reutersberg B, et al. Acute abdominal aortic occlusion: a 16-year single-center experience[J]. J Vasc Surg, 2021, 74(6): 1894-1903.e3. DOI:10.1016/j.jvs.2021.06.021 |
| [2] | Broome JM, Ali A, Simpson JT, et al. Impact of time to emergency department resuscitative aortic occlusion after noncompressible torso hemorrhage[J]. Shock, 2022, 58(4): 275-279. DOI:10.1097/SHK.0000000000001988 |
| [3] | 中国心血管健康与疾病报告编写组. 中国心血管健康与疾病报告2022概要[J]. 中国循环杂志, 2023, 38(6): 583-612. DOI:10.3969/j.issn.1000-3614.2023.06.001 |
| [4] | 中华医学会心血管病学分会, 中国生物医学工程学会心律分会. 心房颤动诊断和治疗中国指南[J]. 中华心血管病杂志, 2023, 51(6): 572-618. DOI:10.3760/cma.j.cn112148-20230416-00221 |
| [5] | Lip GYH, Hammerstingl C, Marin F, et al. Left atrial Thrombus resolution in atrial fibrillation or flutter: Results of a prospective study with rivaroxaban (X-TRA) and a retrospective observational registry providing baseline data (CLOT-AF)[J]. Am Heart J, 2016, 178: 126-134. DOI:10.1016/j.ahj.2016.05.007 |
| [6] | Bergmann MW, Meincke F. Improving left atrial appendage closure: reducing the risk of device-related Thrombus[J]. JACC Cardiovasc Interv, 2023, 16(17): 2150-2152. DOI:10.1016/j.jcin.2023.06.030 |
| [7] | 中华医学会心电生理和起搏分会, 中国医师协会心律学专业委员会, 中国房颤中心联盟心房颤动防治专家工作委员会. 心房颤动:目前的认识和治疗建议(2021)[J]. 中华心律失常学杂志, 2022, 26(1): 15-88. DOI:10.3760/cma.j.cn113859-20211224-00264 |
| [8] | 程光辉, 陈艳, 张劲林, 等. 双源256排CT联合食管超声对心房颤动患者左心房/左心耳血栓的检测价值[J]. 内科急危重症杂志, 2018, 24(6): 472-474. DOI:10.11768/nkjwzzzz20180610 |
| [9] | 朱天刚, 靳文英, 张梅, 等. 心脏超声增强剂临床应用规范专家共识[J/OL]. 中华医学超声杂志(电子版), 2019, 16(10): 731-734. DOI: 10.3877/cma.j.issn.1672-6448.2019.10.004. |
| [10] | Cralley AL, Vigneshwar N, Moore EE, et al. Zone 1 endovascular balloon occlusion of the aorta vs resuscitative thoracotomy for patient resuscitation after severe hemorrhagic shock[J]. JAMA Surg, 2023, 158(2): 140-150. DOI:10.1001/jamasurg.2022.6393 |
| [11] | 崔晶, 杜昕, 吴嘉慧, 等. 非维生素K拮抗剂口服抗凝药对非瓣膜病心房颤动患者左心房血栓消退的影响[J]. 中华心血管病杂志, 2018, 46(8): 606-610. DOI:10.3760/cma.j.issn.0253-3758.2018.08.006 |
| [12] | 杨英, 扶泽南, 杨龙, 等. 左心耳结构复杂性与非瓣膜性心房颤动患者左心耳血栓形成的关系[J]. 中国循环杂志, 2020, 35(3): 277-281. DOI:10.3969/j.issn.1000-3614.2020.03.009 |
| [13] | Huang FS, Wang JJ, Liu XN, et al. Timing of intra-abdominal aortic balloon occlusion for prevention of hemorrhage in patients with placenta previa and placenta accreta spectrum[J]. Int J Gynaecol Obstet, 2023, 163(3): 989-996. DOI:10.1002/ijgo.14909 |
| [14] | Zheng WR, Dou RC, Yan J, et al. Intra-abdominal aortic balloon occlusion in the management of placenta percreta[J]. Chin Med J (Engl), 2022, 135(4): 441-446. DOI:10.1097/CM9.0000000000001944 |
| [15] | Bekwelem W, Connolly SJ, Halperin JL, et al. Extracranial systemic embolic events in patients with nonvalvular atrial fibrillation: incidence, risk factors, and outcomes[J]. Circulation, 2015, 132(9): 796-803. DOI:10.1161/CIRCULATIONAHA.114.013243 |
| [16] | 李若宁, 刘俊鹏, 张亚同, 等. 非瓣膜性心房颤动患者左心房血栓的抗凝治疗进展[J]. 中华心律失常学杂志, 2021, 25(5): 449-453. DOI:10.3760/cma.j.cn.113859-20210209-00035 |
2025, Vol. 34



