随着现代医疗技术的不断进步、医疗资源的分布差异及交通方式的多样化,跨区域医疗救援已成为救治急危重症患者的重要手段,尤其是路空联合转运可显著缩短严重创伤、卒中患者的救治时间,并降低病死率[1]。特别是在偏远或交通不便地区,快速、安全地将患者转运至高水平医疗机构进行救治成为医疗救援领域亟待解决的问题。本文报道了黄山市人民医院与浙江大学医学院附属第二医院(浙大二院)之间的陆空联合救援案例,这一案例正是对这一问题的成功实践。本研究经医院伦理委员会审批(编号:2025-C-029),并书面征得患者家属同意。
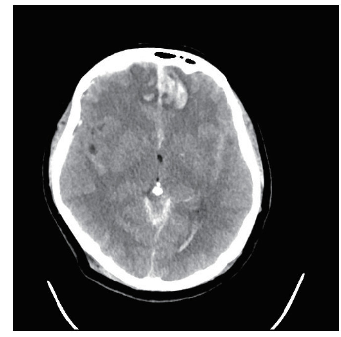
1 病例资料患者,女性,40岁,因“车祸致全身多处外伤半小时余”于2025年6月27日由120送入黄山市人民医院急诊。患者2 h前骑电瓶车发生车祸,致头面部、胸部及左下肢严重受伤,当即昏迷,伴恶心呕吐。入抢救室时自主呼吸微弱,后出现室速,伴随血流动力学不稳定,GCS评分为6分(E1V1M4),双侧瞳孔不等大、对光反射迟钝,左侧直径3 mm,右侧5 mm,后枕部头皮血肿,左下肢胫腓骨区域明显肿胀畸形。医院立即实施全面评估,经紧急行电复律、利多卡因静推后恢复自主心率,予以气管插管保护气道,建立深静脉通路泵入血管活性药物维持血压、纠正酸中毒。完善CT检查:双侧脑挫伤、创伤性蛛网膜下出血、右侧额顶部硬膜下血肿,中颅底及枕骨骨折、累及枕骨大孔,左侧胫腓骨骨折及双肺坠积性改变。见图 1,2。神经外科会诊诊断为弥漫性轴索损伤,无立即手术指征,收入EICU监护稳定生命体征。
|
| 图 1 脑挫伤伴出血 |
|
|
|
| 图 2 枕骨骨折 |
|
|
入院诊断包括:多发伤(ISS 33分)、特重型闭合性颅脑损伤、弥漫性轴索损伤、创伤性蛛网膜下出血、额叶血肿、急性硬膜下血肿、脑疝、左胫腓骨骨折、肺挫伤。
治疗上遵循ATLS原则:气道管理:机械通气,维持PaO2>60 mmHg、PaCO2 35~45 mmHg[2];头高30°位,镇静镇痛[3];循环支持:有创动脉压及CVP监测,MAP≥80 mmHg[4];限制性液体复苏,Hb≥90 g/L[5];颅脑管理:亚低温(32~34℃×24~48 h),头部冰帽降温。
2 陆空联合转运过程患者颅脑损伤极其危重,ISS评分高,病程中室速发作、血流动力学不稳定,虽经初步稳定,仍面临颅内高压、脑疝进展、再发恶性心律失常等高风险。因本地医院救治条件有限,需尽快转运至更高层级创伤中心。常规地面转运需时较长、颠簸风险大,不利于脑保护[6]。经家属同意后,启动与浙大二院的应急响应机制,决定采用直升机航空转运。
2.2 紧急协调与空地对接黄山市人民医院通过协作群联系浙大二院,对方迅速响应,组建航线审批、医疗对接和机场协调专项组。建立专门沟通群,以缩短沟通时间、减少信息误差[7]。因本院无起降条件,选定13 km外的黄山屯溪国际机场为起降点。机场方面积极配合,保障航班调度与地面安全。同时,市交警部门开辟绿色通道,护送移动ICU救护车全速驶往机场。车内医护人员持续监测生命体征,维持呼吸循环稳定,确保转运安全(图 3.4)。
|
| 图 3 患者交接 |
|
|
|
| 图 4 准备返航 |
|
|
6月28日10:13,救援直升机从黄山机场起飞,随机配备呼吸机、监护仪、急救药物等ICU设备,飞行期间患者生命体征平稳。1 h后顺利抵达浙大二院滨江院区,并即刻进入急诊ICU接受后续治疗。
3 讨论本次直升机航空救援成功将一名特重型颅脑损伤患者由黄山市人民医院快速转运至浙大二院,凸显了航空医疗在长距离、急危重症转运中的关键价值。其意义在于有效突破地域限制,缩短救治时间,为复杂创伤患者提供了不可替代的快速生命通道[8]。
此次成功救援依赖于三大核心要素:一是多部门高效协同,包括医疗、通航、空管、机场及交警的无缝衔接;二是转运前患者的充分稳定化和标准化舱内生命支持;三是跨省医疗联盟的紧密协作与预案支持[9]。本案例为构建区域性航空医疗救援网络建设提供了实践范本,突出了体系化建设在提升急危重症救治成功率中的重要作用。
直升机相比救护车优点如下:①直升机速度快,直升机平均速度可达200~300 km/h,适合长距离或交通拥堵区域(如大城市、山区),能大幅缩短转运时间,对急危重症(如心梗、严重创伤)患者至关重要;HEMS可降低严重创伤(ISS≥16)患者的24 h病死率,但成本较高[10]。对于创伤中心50英里外的患者,HEMS更具成本效益。②突破地理限制,可直达偏远地区(山区、海岛)、灾区或事故现场(如高速公路车祸),避免地面交通障碍;HEMS可提高严重创伤患者的生存率(每1 000例患者多挽救12例生命)[11],尤其在偏远地区或地面交通不可及的场景中效果显著。直升机转运显著缩短了偏远地区、山区及灾害现场的黄金抢救时间(平均节约30~60 min以上)[12]。③配备专业医疗设备,医疗救援直升机通常配备呼吸机、心电监护、急救药品等,可提供空中ICU级别的救治;配备高级生命支持设备的HEMS可将严重创伤患者的病死率降低15%~20%,尤其依赖呼吸机、输血设备等ICU级干预[13]。④减少二次损伤,对脊柱损伤或多发伤患者,直升机转运可能比地面颠簸更平稳(需天气条件良好)。缺点如下:①易受天气条件限制,大风、暴雨等恶劣天气可能取消飞行,延误救治;②起降场地要求高,需开阔场地或医院直升机停机坪,偏远地区可能无法满足条件;③容量有限,机舱空间小,仅能容纳1~2名患者及少量医护人员,不利于复杂抢救操作;④费用高昂,成本是救护车的数倍甚至数十倍(每小时费用可能达数万元),部分医保不覆盖;⑤噪音和气压影响,噪声可能干扰医疗操作,气压变化对某些患者(如气胸)不利[14]。因此,总结出优先选择直升机转运条件为时间敏感型急症(如STEMI、严重创伤)、地理障碍、长距离且天气允许及患者经济允许。
直升机医疗转运(HEMS)在急危重症患者救治中具有不可替代的优势,未来其发展将聚焦于技术创新与体系优化。随着无人机技术和电动垂直起降(eVTOL)飞行器的成熟,HEMS将向更环保、更高效的方向发展,例如电池驱动的静音直升机可降低噪声污染并扩展城市夜间转运能力[15]。人工智能的整合有望提升实时航路规划与患者生命体征监测精度,进一步缩短“黄金抢救时间”。此外,区域化协作网络的建立将促进HEMS资源合理配置,尤其是在偏远地区和重大公共卫生事件中[16]。然而,成本控制与标准化培训仍是普及的关键挑战。未来需通过多中心研究验证其成本效益,并制定统一的国际操作指南。
利益冲突 所有作者声明无利益冲突
作者贡献声明 舒李焱、吴振旺:实验设计、论文撰写、论文修改。朱冠能、汪洋:工作支持、资料收集分析;吴文辉、孙刚:实施研究、采集数据
| [1] | Taylor CB, Søreide K, Keogh S, et al. Interhospital transfer of critically ill patients: a systematic review of impact on outcomes and time-sensitive conditions[J]. Crit Care, 2023, 27(1): 45. DOI:10.1186/s13054-023-04332-w |
| [2] | Rossaint R, Afshari A, Bouillon B, et al. The European guideline on management of major bleeding and coagulopathy following trauma: sixth edition[J]. Crit Care, 2023, 27(1): 80. DOI:10.1186/s13054-023-04327-7 |
| [3] | Carney N, Totten AM, O'Reilly C, et al. Guidelines for the management of severe traumatic brain injury, fourth edition[J]. Neurosurgery, 2017, 80(1): 6-15. DOI:10.1227/NEU.0000000000001432 |
| [4] | Chesnut RM, Temkin N, Videtta W, et al. Impact of hypotension and low cerebral perfusion pressure on outcomes in patients treated for severe traumatic brain injury: a secondary analysis of the boost-ii trial[J]. Crit Care Med, 2020, 48(6): e462-e469. DOI:10.1097/CCM.0000000000004264 |
| [5] | 冀兵. 多发伤损伤控制理念的急诊应用[J]. 中华急诊医学杂志, 2023, 32(5): 590-592. DOI:10.3760/cma.j.issn.1671-0282.2023.05.004 |
| [6] | 中国医师协会急诊医师分会, 解放军急救医学专业委员会, 北京急诊医学学会, 等. 成人创伤性颅脑损伤院前与急诊诊治中国专家共识[J]. 中华急诊医学杂志, 2025, 34(5): 626-635. DOI:10.3760/cma.j.issn.1671-0282.2025.05.004 |
| [7] | Evans CC, Bebarta VS, Brown JB. Helicopter Emergency Medical Services for Trauma: Team Dynamics and Communication[J]. Air Med J, 2021, 40(3): 158-163. DOI:10.1016/j.amj.2021.02.005 |
| [8] | Brown JB, Gestring ML, Guyette FX, et al. Helicopter vs. ground emergency medical services for trauma transport[J]. JAMA Surg, 2022, 157(9): 791-799. DOI:10.1001/jamasurg.2022.1913 |
| [9] | 黄浩. 航空紧急医学救援中的多部门协作机制[J]. 中国公共安全, 2024, 2: 96-98. DOI:10.3969/j.issn.1672-2396(x).2024.02.031 |
| [10] | Brown JB, Gestring ML, Guyette FX, et al. Association of helicopter vs ground emergency medical transport with survival for patients with major trauma[J]. JAMA Surg, 2021, 156(3): 240-249. DOI:10.1001/jamasurg.2020.6776 |
| [11] | Galvagno SM Jr, Haut ER, Nabeel Zafar S, et al. Association between helicopter vs ground emergency medical services and survival for adults with major trauma[J]. JAMA, 2012, 307(15): 1602-1610. DOI:10.1001/jama.2012.467 |
| [12] | Delgado MK, Staudenmayer KL, Wang NE, et al. Cost-effectiveness of helicopter versus ground emergency medical services for trauma scene transport in the United States[J]. Ann Emerg Med, 2013, 62(4): 351-364.e19. DOI:10.1016/j.annemergmed.2013.02.025 |
| [13] | Galvagno SM Jr, Sikorski R, Hirshon JM, et al. Helicopter emergency medical services for adults with major trauma[J]. Cochrane Database Syst Rev, 2015, 2015(12): CD009228. DOI:10.1002/14651858.CD009228.pub3 |
| [14] | Lichtenberger PM, Peer MF, Lindtner RA, et al. Helicopter vs. ground-based transfer for emergency interhospital transportation: A time and cost-efficiency analysis across varying transfer distances[J]. Injury, 56(7): 112359. DOI:10.1016/j.injury.2025.112359 |
| [15] | Shimizu K, Hibino S, Biros MH, et al. Emergency medicine in Japan: past, present, and future[J]. Intern J Emerg Med, 2021, 14. DOI:10.1186/s12245-020-00316-7 |
| [16] | Watson NA, Fernandez N, Owen I, et al. The Potential of Flight Simulation to Support Pilot Training for Mountain Helicopter Emergency Medical Services[J]. Air Med J, 2025, 44(5): 386-389. DOI:10.1016/j.amj.2025.06.002 |
2025, Vol. 34



